Dental X-rays are a critical part of any oral care plan. They are commonly used – anyone who has ever visited a Rancho Cucamonga Dentist or dental hygienist has most likely had them taken at some point.
The Dental X-Ray Process
- These X-rays are generally performed in the office of a local Rancho Cucamonga Dentist. To begin, your dentist will cover you with a heavy iron apron to protect your body from the radiation.
- Next, your professional Rancho Cucamonga Dentist who is licensed to take dental x-rays will insert a small apparatus, made of plastic, into your mouth and ask you to bite down on it – this holds the X-ray film in place.
- Your local Rancho Cucamonga Dentist will then proceed to take an X-ray picture of the targeted area. This process is pain-free and will be repeated until images have been obtained for your entire mouth.
Why Are These X-Rays Taken?

X-ray are generally taken for preventive dental care purposes. This procedure can assist in highlighting a variety of dental issues, including bone destruction, dental injuries and tooth decay.
Ultimately, an X-ray is also a helpful tool for planning a course of treatment for patients who are having restorative care, dental implants placed or other cosmetic care.
Common Types of X-Rays Performed
There are a variety of X-rays your local Rancho Cucamonga Dentist can order. The type of X-ray needed will mainly depend on the type of care the patient needs to get treated for.
Here are some of the most common types of X-rays performed.
- Periapical: Provides a view of the entire tooth, from the crown to the bone that help to support the tooth.
- Bitewing: Offers a visual of both the lower and upper posterior teeth. This X-ray can also help in showing your local Rancho Cucamonga Dentist how these teeth touch one another.
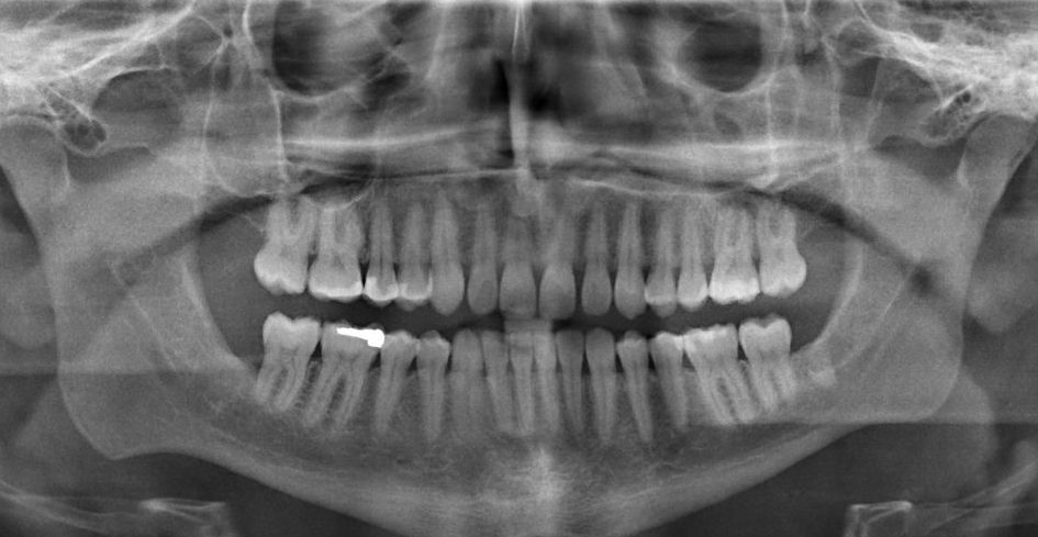
- Panoramic: Displays a view of the teeth, jaws, nasal area, sinuses and jaw joints and generally taken when a patient may need orthodontic treatment.
- Occlusal: Gives you a clear view of the floor of the mouth to assist in discovering any extra teeth or teeth that have not yet broken through the gum line.
For the latest tips on oral health, flossing, dental care, and much more, make sure to follow our blog at: http://arrowdentalarts.com/home/blog